Casi 5 mil casos de tuberculosis en México, con 3 estados al frente
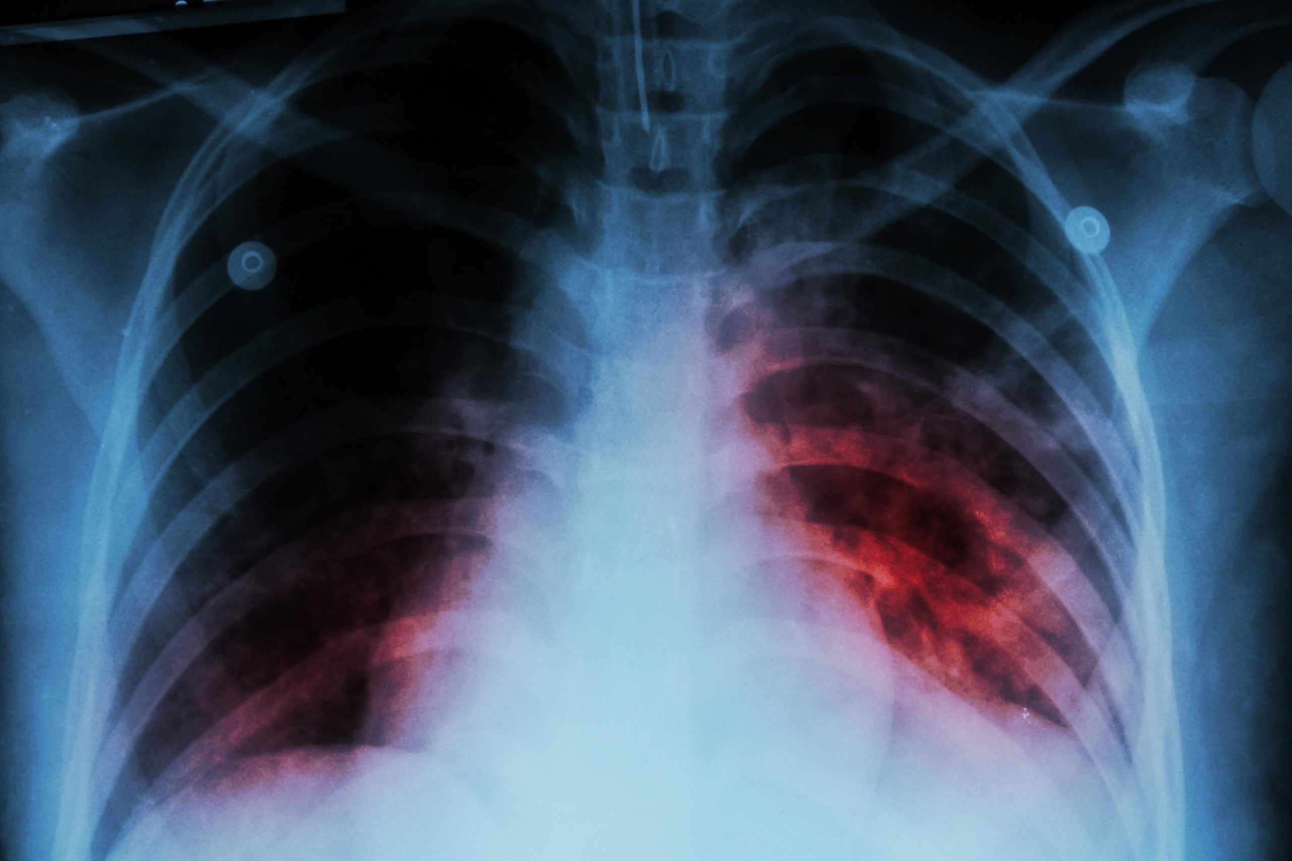
En la última semana de marzo se reportaron 412 nuevos casos de tuberculosis en México. Al cierre de marzo, los ...
En la última semana de marzo se reportaron 412 nuevos casos de tuberculosis en México. Al cierre de marzo, los ...
"El principal beneficio para los pacientes que llegan al INER con síntomas respiratorios es que podemos determinar en cuatro horas ...
El IMSS ofrece pruebas de baciloscopia para diagnosticar la enfermedad. Vacunación BCG para la prevención de Tuberculosis. El IMSS insta ...
La OMS destaca que es aún más urgente actuar en el contexto actual de la guerra en Ucrania, de los ...
La agencia de salud de la ONU señaló que 1,5 millones de personas en todo el mundo murieron a causa ...
Jonathan Medina Haller, quien estuvo preso 3 mil 762 días, salió de la cárcel con guantes, cubrebocas, y una careta ...
El número de personas que reciben terapia antirretroviral para el VIH subió 8.8% en 2020 a 21.9 millones, pese al covid-19. La pandemia ...
La mujer presentaba fiebre, mucosidad y tos; síntomas consistentes con los de la tuberculosis, por lo que fue sometida a ...
La tuberculosis es la principal causa de muerte por un solo agente infeccioso, aún por encima del VIH Usuarios y ...
La tuberculosis es la principal causa de muerte por un solo agente infeccioso, aún por encima del VIH Usuarios y ...
Una de cada cuatro personas en el mundo es portadora del virus En pleno siglo XXI las enfermedades contagiosas siguen ...
En el campamento se realizan constantes pruebas para descartar brotes de sarampión, influenza y otras enfermedades virales Las autoridades sanitarias de ...
En total son cinco mil 647 las cabezas que fueron puestas en cuarentena, mientras que 504 se encuentran en cuarentena precautoria ...
Autoridades sanitarias revelaron que al menos cuatro mujeres habían presentado los síntomas de dicha enfermedad tras aplicarse un tratamiento de ...
El autobús circulaba a la altura del puente de peaje que une al municipio de La Piedad con Santa Ana, Pénjamo, ...
© 2024 Paco Zea Todos los derechos reservados